当院では、患者さんへの負担を軽減しつつ、より精度の高いインプラント治療を提供するため、先進のデジタル技術を積極的に取り入れています。
今回は、多くの歯を失ってしまった患者さんに対し、口腔内スキャナーと当院独自の工夫を用いて、フルアーチインプラント治療を行った症例をご紹介します。
本症例は2025年日本臨床歯科CADCAM学会にて発表を行った症例です。
1. 患者さんのご紹介(主訴・お悩み)
患者さん: 48歳 男性
主訴: ブリッジの動揺による咀嚼困難(食事がしにくい)
こちらの患者さんは、過去のむし歯治療のやり直し(2次う蝕)や、歯の根っこが割れてしまう「歯根破折」などが原因で、お口の中全体の歯が保存不可能な状態でした。
当初、上あごの残っている歯をすべて抜歯し、保険適用の総義歯(入れ歯)を作製しました。しかし、装着した際の入れ歯の動きや、上あごが厚く覆われることによる「嘔吐反射(オエっとなる感覚)」が強く、日常生活で満足に食事や会話ができないという強いお悩みをお持ちでした。
2. ご来院時の状態と診断
・上顎ブリッジ支台歯の2次う蝕および歯根破折
・多数歯欠損による咀嚼機能不全
精密検査の結果、残存していたブリッジの土台となる歯は崩壊が進んでおり、これ以上は保存が難しい状態と判断しました。
48歳という若さもあり、「取り外しの必要がない、自分の歯のようにしっかり噛める固定式の歯にしたい」という強いご希望を受け、フルアーチインプラント治療を計画しました。

フルアーチインプラント(すべての歯を数本のインプラントで支える方法)において重要なのは、インプラント体と人工の歯(上部構造)が寸分違わずぴったりと適合する「パッシブフィット」の実現です。
当院では、インプラントの上に装着する歯を目安として20ミクロン程度(0.02mm:髪の毛の太さの約1/4)の適合を意識しながら作製することにこだわっています。わずかなズレが、将来的なネジの緩みやフレームの破損、さらにはインプラント周囲の骨の吸収を招くリスクがあるためです。
インプラント本体と、その上に乗る人工の歯(フレーム)が、ネジを締める際 に応力(無理な力)がかからず、吸い付くようにぴったりと合っている状態を 指します。これが達成されていないと、インプラントに負担がかかり寿命を縮 める原因になります。
3. 治療計画
患者さんの「固定式でしっかり噛みたい」というご希望と、長期的な安定性を両立させるため、以下の計画を立てました。
① インプラント埋入計画
上あごに6本のインプラント(人工歯根)を埋入し、お口全体を一つの大きな装置で支える設計としました。これにより、噛む力を分散させて安定を図ります。
② デジタル技術の活用
お口全体の大きな装置において重要となる「パッシブフィット(精密な適合)」を目指すため、口腔内スキャナー(お口の中を撮影するカメラ)を用いたデジタル型取りを計画しました。
③ 精度の検証
カメラで読み取るための「専用パーツ」を、お口の中でバラバラにならないよう「連結用の固定具」でつなぎ合わせる方法を採用しました。これにより、通常のスキャンよりもさらに位置のズレを抑える工夫を取り入れています。
4. 治療時
治療は以下のステップで精密に進めました。
① 外科処置と仮歯の固定(プロビジョナル装着)
まずインプラントを埋入し、治癒期間を経て固定式の仮歯を装着しました。これにより、噛み合わせの安定を図りながら、歯ぐきの形を整えていきます。

② 連結用の固定具(カスタムジグ)による型取り
最終的な被せ物を作製するために、インプラントの頭の部分に、位置を読み取るための「専用の目印パーツ(スキャンボディ)」を取り付けました。さらに、このパーツ同士がわずかでも動かないよう、専用の橋渡しのような「連結具」でしっかりと固定した状態でスキャンを行いました。


③ 位置確認用の模型(ベリフィケーションインデックス)の採得
さらに精度を追求するため、お口の中のインプラントの位置を正確に記録した「確認用の模型」を作製しました。この精密なアナログデータを基準として、デジタルデータの正確性を比較・検証しました。

インプラントが骨にしっかり固定されたことを確認後、最終的な歯を作るための「型取り」を行いました。
現在、すべての歯をインプラントで補うフルアーチ治療において、デジタルスキャンの精度は世界的にもまだ研究・検証段階にあります。その中で当院は、実際の臨床現場でその精度について検証を行うプロセスを導入しています。
通常、お口全体の型取りをデジタル(カメラによるスキャン)で行う場合、範囲が広くなるほどデータの歪みが生じやすいという課題があります。そこで当院では、学術的報告に基づき、インプラントの頭に取り付ける「スキャンボディ」を、3Dプリンターで作製した専用の「カスタムジグ」で連結・固定してスキャンを行いました。
今回は治療の過程で、以下の3つの方法について結果の違いを比較しました。
方法A: 従来の粘土のような材料(シリコン)での型取り
方法B: 通常のデジタルスキャン
方法C: スキャンボディをジグで固定したデジタルスキャン
検証の結果、方法C(ジグ固定+デジタル)は、全体的なズレが少なく、特に歯軸方向(歯の生えている向き)に安定した傾向が確認されました。
インプラントの正確な位置や向きをコンピュータ上に読み取らせるための、専用のパーツです。これをインプラントに装着して撮影することで、お口の中の状況を立体的なデジタルデータとして再現することができます。
お口の中に並んだ複数のインプラントの位置関係を、ズレないようにひとまとめに固定するためのオーダーメイド器具です。これを使うことで、複数のパーツが一本の棒のようにつながり、より正確な位置情報を型取りすることが可能になります。
5. 治療後・予後:精度と長期安定性の関係
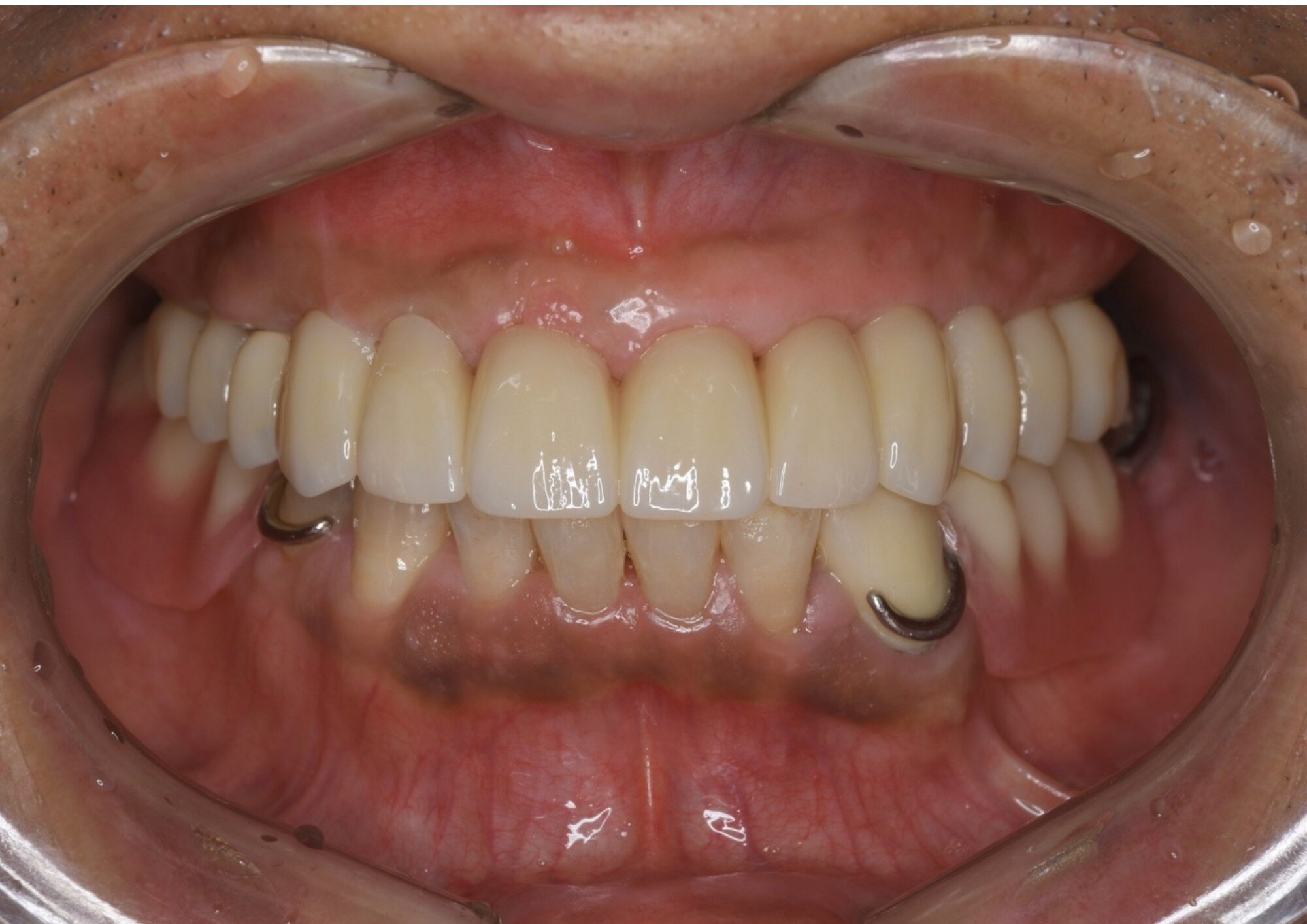
デジタルデータをもとに製作されたフルアーチブリッジ(ジルコニア製)を装着しました。
装着時、6本の固定用ネジすべてがスムーズに締まり、良好なパッシブフィットが得られていることを確認しました。
このような適合状態を目指して製作を行い、以下の点に配慮しています。
・インプラントや骨に過度な力が加わらないよう設計
・ネジのゆるみなどのトラブルに配慮
・長期的な経過を見据えた適合状態を重視
患者さんからは「自分の歯のようにしっかり噛める」と大変喜んでいただけました。


患者さんからよく「インプラントは何年もちますか?」と質問をいただきます。 しかし実際には、インプラントのメーカーや材料そのものではなく、「治療の精度」が長期的な結果に影響します。インプラント治療で重要なのは、「どれだけ精密に作られ、どれだけ正確に装着されているか」です。
三国丘歯科クリニックでは、患者さんからは見えない“0.02mmの精度”にこだわり、長期的な安定を目指したインプラント治療を提供しています。
「インプラントの寿命は、材料だけではなく“精度”も重要。」
お口全体の歯でお悩みの方、インプラント治療をご希望の方は、ぜひ一度当院へご相談ください。
インプラント手術に伴い、術後の痛み、腫れ、内出血が生じることがあります。また、細菌感染によるインプラント周囲炎や、稀に神経損傷による痺れのリスクがあります。装着後も、強い食いしばりによる部品の破損や、毎日の清掃・定期的な検診を怠るとインプラントが脱落する可能性があります。
| 術名 | 上顎のオールオン6 |
|---|---|
| 年齢 | 50代 |
| 性別 | 男性 |
| 主訴 | 入れ歯にするしかないと言われたが、入れ歯は避けたい |
| 診断名 | カリエスC4、歯根破折 |
| 治療内容 | 上顎(無歯顎)のオールオン6インプラント治療 |
| 治療期間 | 1年 |
| 費用 | 250万円+税 |
| リスク・副作用 | 手術時:広範囲な手術になるため、術中の出血リスクや、術後の感染リスク 完成後:歯磨きの清掃、定期的なメンテナンスを怠ると、インプラント周囲炎のリスクあり |
👆【インプラント症例】50代男性 他医院で入れ歯しか無理だと言われた患者さんの上顎オールオン6
から引用
本症例についてのご質問や、インプラント無料カウンセリングのご予約はこちら
監修:理事長/院長 山本 英樹
経歴:
大阪府立 三国丘高校 卒業
大阪大学 歯学部 卒業
平成17年 大阪府下 インプラントセンター勤務
平成22年 三国丘歯科クリニック 開設
平成26年 医療法人英歯会 理事長就任
令和6年 MID-G役員就任
その他受賞歴:
MID-Gマニュアルコース MVP
日本臨床歯科CADCAM学会 最優秀会員発表アワード
日本臨床歯科CADCAM学会認定医