電話
WEB予約
アクセス
Instagram

インプラント症例

【インプラント症例】50代男性 他医院で入れ歯しか無理だと言われた患者さんの上顎オールオン6

1. 患者さんのご紹介(主訴・お悩み)

今回ご紹介するのは、50代の男性の患者さんです。

● 「一件目の歯科医院で、もうあなたの歯は持たないから『入れ歯にするしかない』と言われた」
● 「二件目の歯科医院では、『入れ歯が嫌ならインプラント治療になるが、うちではできない』と断られてしまった」

食べる楽しみも、人前で話す自信も失いかけている中で、当院のホームページをご覧になり、「ここなら何とかしてくれるかもしれない」と、ご相談に来られました。

「まだ50代なのに、総入れ歯にはなりたくない」「何とか自分の歯のように噛めるようにならないか」という、非常に切実なお悩みをお持ちでした。

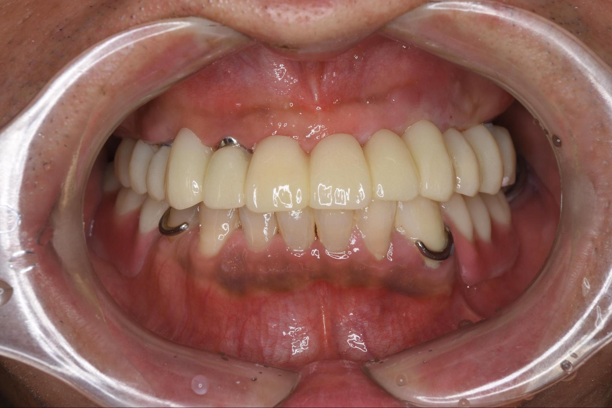
初診時症例画像

 

2. ご来院時の状態と診断

まず、患者さんの現在のお口の中の状態を正確に把握するため、各種精密検査を行いました。 パノラマレントゲン撮影、歯周病の進行度を測る精密検査に加え、インプラント治療の診断には不可欠となる、顎の骨の立体的な状態(厚みや高さ、神経の位置など)を把握するための歯科用3D-CT撮影を行いました。

検査の結果、残念ながら上顎(うわあご)には、重度の歯周病によって骨が溶けてグラグラになってしまった歯や、根が割れてしまっている歯(歯根破折)が多数認められました。 これらの歯を保存することは極めて困難であり、抜歯が必要な状態でした。

残すことができる歯の本数も非常に少なく、健康保険適応のブリッジ治療(失った歯の両隣の歯を削って橋渡しする治療)も適応外と診断されました。 他の医院で言われた通り、治療の選択肢としては「取り外し式の入れ歯」か、外科処置を伴う「インプラント治療」かの二択となる、非常に難しい状況であることが再確認されました。

3. 治療計画

診断結果に基づき、治療の選択肢についてご説明する時間を設けました。 ここで、当院の強みの一つである「トリートメントコーディネーター(TC)」によるカウンセリングを行います。

【コラム:トリートメントコーディネーター(TC)とは?】 TCは、患者さんと歯科医師との間に立ち、治療に関するご説明やご相談を専門に行うスタッフです。患者さんのお悩みやご希望(「痛くないか」「費用はどのくらいか」「期間は?」など)をじっくりと伺い、専門的な治療内容を分かりやすくご説明します。 院長には直接聞きにくいと感じるような費用や、過去の治療での不安なども、TCになら気兼ねなくご相談いただけます。当院では、患者さんが心から納得して治療に進めるよう、このカウンセリングの時間を非常に大切にしています。

患者さんからは、

● 「取り外し式の入れ歯は、手入れも大変そうだし、何より精神的な抵抗感が強い」
● 「費用や期間がかかっても、もう一度しっかり噛んで、人前でも気にせず笑えるようになりたい」 という強いご希望を伺いました。

TCから、入れ歯のメリット・デメリット、そしてインプラント治療のメリット・デメリット(外科処置が必要であること、治療期間、費用など)を丁寧にご説明しました。 十分なご相談の結果、患者さんは上顎の機能と見た目を根本的に回復するため、「インプラント治療」を選択されました。今回は、上顎の悪い歯を全て抜歯し、6本のインプラントで全ての歯を支える「オールオン6(All-on-6)」という治療計画を立案しました。

4. 治療時

治療計画にご同意いただき、治療を開始しました。

ステップ1:抜歯と仮入れ歯の作製

まず、上顎の保存不可能な歯を全て抜歯しました。抜歯と同時に、インプラント治療が完了するまでの間、お食事や見た目に困らないよう「仮の入れ歯(即時義歯)」を作製し、装着していただきました。 この仮入れ歯の期間は、噛み合わせを安定させると同時に、抜歯した部分の歯肉(歯ぐき)が治癒し、骨が安定するのを待つための重要なステップです。

ステップ1画像

ステップ2:インプラント埋入手術

抜歯した部分の歯肉の傷口が十分に治癒したことを確認してから、CTデータに基づいた精密なシミュレーションのもと、上顎に6本のインプラントを埋入する手術を行いました。

【コラム:インプラント治療とは?】 インプラント治療は、歯を失った部分の顎の骨に、チタン製の人工歯根(インプラント体)を埋め込み、その上に人工の歯を装着する治療法です。ご自身の歯のようにしっかりと噛むことができ、見た目も自然です。入れ歯のような取り外しの手間や違和感がなく、ブリッジのように健康な隣の歯を削る必要もありません。

ステップ2画像

ステップ3:治癒期間(オッセオインテグレーション)

手術後、インプラントと顎の骨が強固に結合する「オッセオインテグレーション」を待つため、約3ヶ月間の治癒期間を設けました。この期間は、仮入れ歯をご使用いただきます。

【コラム:オッセオインテグレーション(Osseointegration)】 インプラント治療の成功の鍵となる現象です。「オッセオ」は骨、「インテグレーション」は結合を意味します。埋入されたチタン製のインプラント体と、顎の骨の細胞が顕微鏡レベルで強固に結合することを指します。この結合が確立することで、インプラントは天然歯の根と同じように機能し、強い力で噛むことが可能になります。

ステップ4:固定式の仮歯(プロビジョナル)の装着

骨との結合を確認した後、いよいよインプラント用の「仮歯」を装着しました。 この仮歯は、今までの仮入れ歯とは異なり、インプラントに直接ネジで固定する「固定式」のものです。 この時点で、何を食べても外れる心配がなくなり、患者さんの食生活は劇的に改善します。

ステップ4画像

ステップ5:最終的な歯(セラミック冠)の製作

この固定式の仮歯には、最終的な歯を成功させるための重要な役割があります。しっかりと噛めるようになることで、噛む力(咬合力)が回復し、顎の動きや噛み合わせも微妙に変化します。 この仮歯を数ヶ月間使用していただきながら、発音や見た目、清掃性、噛み心地などを細かく微調整し、患者さんにとって最適な状態を探っていきます。 この情報を基に、最終的な「セラミック冠(上部構造)」を精密に製作します。

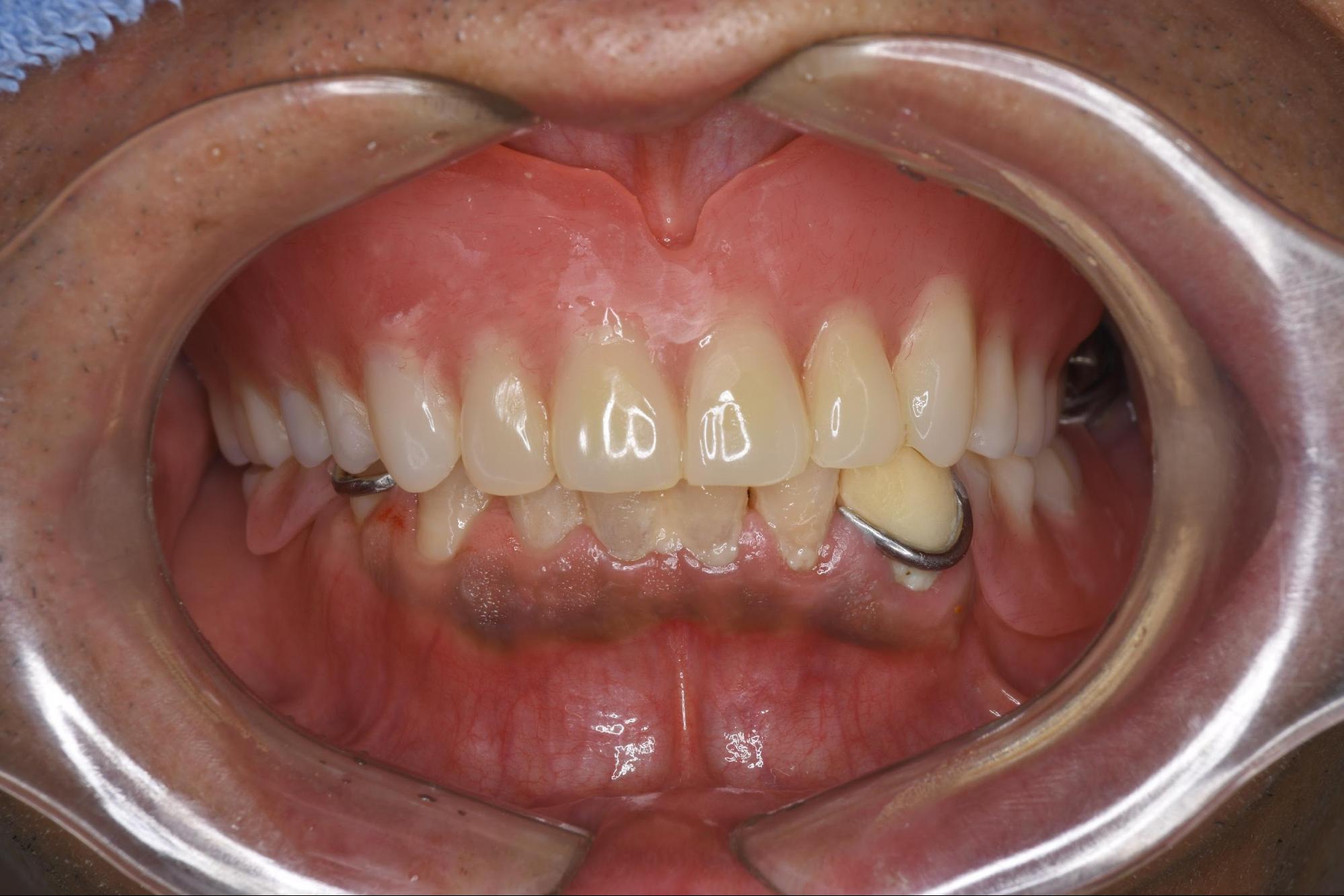
5. 治療後・予後

最終的なセラミックの歯を装着し、治療は完了しました。 (※ここに治療前後の口腔内写真が入る想定です)

取り外し式の入れ歯ではなく、ご自身の歯のようにしっかりと固定された、審美的な歯並びが回復しました。

患者さんからは、

● 「最初の状態からすると、まるで別人のような綺麗な状態になった」
● 「硬いお肉やナッツ類も、何でも食べられる。食事が本当に楽しい」
● 「人前で口元を隠す必要がなくなり、大きく口を開けて笑えるのが本当に嬉しい」

と、大変喜ばしいお言葉をいただきました。

【当院の強み:高精度のデジタル技術と学会発表】
今回の治療では、インプラントの埋入位置のシミュレーションから、最終的な歯の設計・製作に至るまで、デジタル機器(口腔内スキャナーやCAD/CAMシステムなど)を駆使して行いました。 これにより、精度の高い治療と、機能的かつ審美的な仕上がりを両立が期待できます。

また、本症例は他院で断られた難症例をデジタル技術で克服した有意義なケースであったため、症例報告として学会発表させていただきました。 その結果、光栄なことに「日本臨床歯科CADCAM学会」において最優秀アワードを受賞いたしました。

当院は、こうした日々の研鑽と最新技術の導入により、他院では難しいとされる難症例にも積極的に取り組んでいます。「どこに行っても断られてしまった」という方も、ぜひ一度ご相談ください。

治療後は、この素晴らしい状態を長く維持するために、定期的なメインテナンスが不可欠です。インプラントも天然歯と同様に、お手入れを怠ると歯周病(インプラント周囲炎)のリスクがあります。 今後は私たちが責任を持ってサポートさせていただきます。

インプラントシミュレーション画像① インプラントシミュレーション画像②

堺市の歯医者 三国丘歯科クリニック 堺市インプラントオフィスのインプラント治療

堺市の歯医者 三国丘歯科クリニック 堺市インプラントオフィスのインプラント治療は、傷口を最小限に抑えながら短時間で適切な位置にインプラント体を入れるために、また、血管や神経などの位置を確認しながら手術を行うために、「XガイドⅡ 3Dナビゲーションシステム」を導入しています。

三国丘歯科クリニック 堺市インプラントオフィスではインプラント治療に注力し、以下4つのインプラント治療が可能です。

①抜歯即時埋入

歯を抜いた直後にインプラント手術をする方法です。歯や歯ぐき、あごの骨の状態などが良好な場合に適応することができ、歯のない期間を短くすることで歯肉や顎の骨の吸収を防ぎます。

②フラップレス埋入

歯肉の切開(フラップ)を行わないインプラント手術です。歯科用CTなど専門の機器や技術が求められ、対応できる歯科医院が限られたインプラント治療法です。

③インプラント即時荷重

手術当日から噛めるようにするため、インプラント体を埋入する手術と同時に仮歯を入れるインプラント手術です。

④フルインプラント

すでに上顎または下顎に歯がない患者さんに適用されるインプラント治療です。
4~8本のインプラントを埋入し、そのインプラントを支えとして12~14本のセラミックの歯を再建します。

インプラントの上に装着する人工の歯はセラミックの中でも強度が高く、汚れが付着しにくいとされるジルコニアを取り扱っています。
歯の形を決めるために行う口の中の型取りは、短時間で不快感が少なくなるよう、従来のゴム状の素材を口に入れる方法ではなく、口腔内スキャナーを使用したデジタルシステムを活用しています。

歯を失った場合の治療法には「ブリッジ」「入れ歯」もあります。ただし、周りの歯への影響を考え、一生涯快適な食生活を送るために、「インプラント」は最も良い選択肢と三国丘歯科クリニックは考えています。
保険適用外の治療ではありますが、堺市の歯医者 三国丘歯科クリニック 堺市インプラントオフィスは「長い目でみて後悔のない治療」をコンセプトに、使用する歯科材料にこだわり、国内外の技術を応用した低侵襲で長持ちするインプラント治療で費用以上の価値をご提供できるよう努めています。

▼インプラント治療の詳細はこちら

インプラント

 

2025年10月
術名 上顎のオールオン6
年齢 50代
性別 男性
主訴 入れ歯にするしかないと言われたが、入れ歯は避けたい
診断名 カリエスC4、歯根破折
治療内容 上顎(無歯顎)のオールオン6インプラント治療
治療期間 1年
費用 250万円+税
リスク・副作用 手術時:広範囲な手術になるため、術中の出血リスクや、術後の感染リスク
完成後:患者自身の清掃、定期的なメンテナンスを怠ると、インプラント周囲炎のリスクあり

 

監修:理事長/院長 山本 英樹

経歴:
大阪府立 三国丘高校 卒業
大阪大学 歯学部 卒業
平成17年 大阪府下 インプラントセンター勤務
平成22年 三国丘歯科クリニック 開設
平成26年 医療法人英歯会 理事長就任
令和 6年 MID-G役員就任

その他受賞歴:
MID-Gマニュアルコース MVP
日本臨床歯科CADCAM学会 最優秀会員発表アワード
日本臨床歯科CADCAM学会認定医