「奥歯の銀歯が気になる」「治療を何度も通わずに終わらせたい」とお悩みの方も多いのではないでしょうか。
今回は、デジタル技術を駆使し、約1時間で銀歯を白いセラミックへと修復した症例をご紹介します。
1. 患者さんのご紹介(主訴・お悩み)
今回の患者さんは38歳の女性です。
「笑ったときや口を大きく開けたときに見える、下の奥歯の銀歯を白くしたい」というご要望で来院されました。
お仕事や家事でお忙しく、「できれば何度も通院したくない」「その日のうちに治療を終えたい」という強いご希望をお持ちでした。
当院では、院内でセラミックの設計・加工を行う「ワンデーセラミック治療」が可能なため、即日対応での治療を計画しました。


2. ご来院時の状態と診断
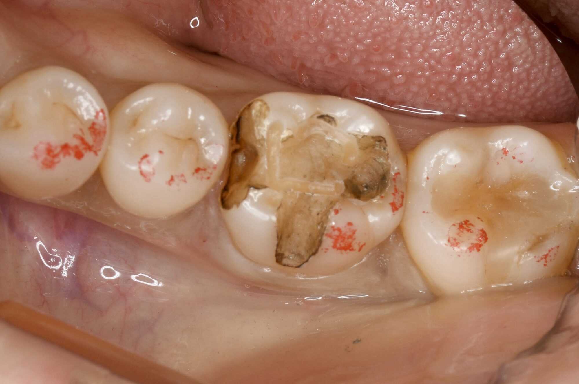
まずは銀歯の状態を確認するため、口腔内検査を行いました。
対象となる下の奥歯には、過去に治療した銀歯(メタルインレー)が装着されていましたが、銀歯と歯の境目にわずかな隙間が生じていました。
レントゲンおよび視診の結果、「インレー下カリエス(二次むし歯)」と診断しました。銀歯の中でむし歯が再発している状態です。
このまま放置すると神経まで達する恐れがあったため、銀歯を外してむし歯を取り除き、新しい詰め物で修復する必要があります。
過去に治療して装着した詰め物(インレー)の隙間から、再びむし歯になってしまうことを指します。銀歯は経年劣化により接着剤が溶け出したり、金属自体が摩耗したりしやすいため、こうした二次むし歯のリスクが比較的高い傾向にあります。
3. 治療計画
患者さんの「白くしたい」「早く終わらせたい」というニーズに応えるため、以下の計画を立てました。
治療内容: ワンデーセラミック治療(セレック治療)
工程: 麻酔下で銀歯を除去し、むし歯を徹底的に取り除いた後、3Dスキャナーで型取りを行い、その場でセラミックを作製・接着します。
メリット: 仮歯の期間がないため、削った部分からの細菌感染リスクを抑えられ、精度の高い接着が可能です。
4. 治療のプロセス
局所麻酔を行い、痛みがないことを確認してから慎重に銀歯を外します。
銀歯を外すと、事前の診断通り内部にむし歯が広がっていました。
検知液(むし歯を染める薬)を使用し、健康な歯を削りすぎないよう配慮しながら、むし歯のみをきれいに除去し、セラミックが適合しやすいよう形を整えます。


当院では、従来の粘土のような型取り材は使用しません。
小型のカメラ(口腔内スキャナー)で、お口の中をデジタルスキャンします。数十秒で、モニター上に精密な3Dデータが再現されます。
当院の特徴の一つは、スキャンしたデータをもとに院長自らがセラミックの形を設計している点です。
院長の山本は、日本デジタル歯科学会(旧CAD/CAM学会)認定医であり、歯科メーカー「デンツプライシロナ」の公認講師も務めています。
これまでの知識と経験を踏まえ、隣の歯との接触関係や噛み合わせのバランスを細かく確認しながら設計を行います。コンマ単位で調整を重ね、口腔内全体との調和を考えた補綴物の作製に取り組んでいます。
講師レベルの知識と経験に基づき、隣の歯との接触具合や、噛み合わせのバランスをコンマ数ミリ単位で調整します。
コンピュータによる設計(Computer-Aided Design)と、コンピュータによる製造(Computer-Aided Manufacturing)の略称です。歯科においては、歯の形をコンピュータで設計し、専用のマシンでセラミックブロックを削り出す技術を指します。


設計完了後、院内のミリングマシン(削り出し機)で高品質なセラミックブロックを加工します。
削り出されたセラミックが、お口の中でピッタリと適合するかをチェックします。

セラミック専用の強力な接着剤(レジンセメント)を使用して、歯に一体化させます。


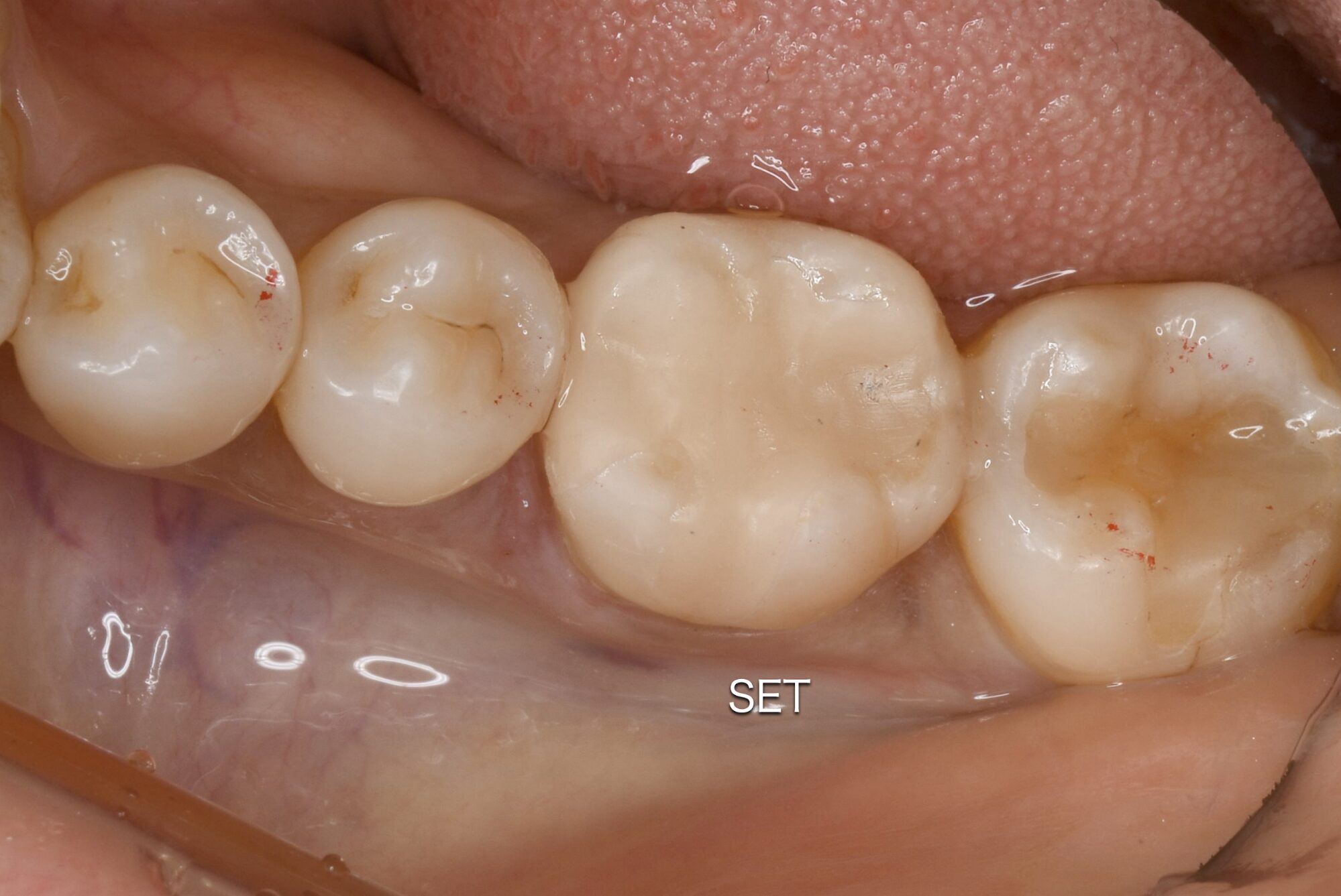
この「接着」の工程を丁寧に行うことが、将来的な二次むし歯を防ぐ鍵となります。最後に、全体の噛み合わせを微調整し、表面をツルツルに研磨して終了です。
5. 治療後・予後
治療開始から約60分後、患者さんの下の奥歯には、どこを治療したかわからないほど自然で白い歯が入りました。
治療回数: 1回
所要時間: 60分
費用: 66,000円(税込)
リスク・副作用: 治療後、一時的に神経が過敏になり、冷たいものがしみる場合があります。また、非常に強い力がかかるとセラミックが欠けたり外れたりする可能性がありますが、当院では適切な診断と設計、精緻な接着プロセスにより、これらのリスクを最小限に抑えています。
当院では、認定医・講師という「技術の裏付け」と「最新設備」を掛け合わせることで、短時間かつ精密な治療を実現しています。銀歯の見た目が気になる方、忙しくて通院が難しい方は、ぜひ一度ご相談ください。
監修:理事長/院長 山本 英樹
経歴:
大阪府立 三国丘高校 卒業
大阪大学 歯学部 卒業
平成17年 大阪府下 インプラントセンター勤務
平成22年 三国丘歯科クリニック 開設
平成26年 医療法人英歯会 理事長就任
令和6年 MID-G役員就任
その他受賞歴:
MID-Gマニュアルコース MVP
日本臨床歯科CADCAM学会 最優秀会員発表アワード
日本臨床歯科CADCAM学会認定医