1. 患者さんのご紹介(主訴・お悩み)
今回の患者さんは43歳の男性です。
「他院で前歯2本を抜かなければならないと言われたが、インプラント治療ができる歯医者を探している」という切実な思いで、当院にご相談にいらっしゃいました。
前歯は顔の印象を左右する極めて重要な部位です。
患者さんは「抜歯後に歯がない期間があるのは困る」「できるだけ早く、自然な見た目を取り戻したい」という強いご希望をお持ちでした。
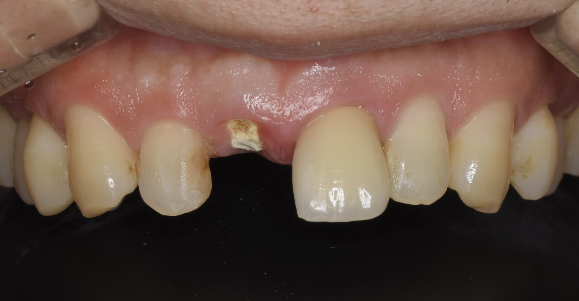
2. ご来院時の状態と診断
精密検査の結果、前歯2本に「歯根破折(しこんはせつ)」が認められました。
歯の根に亀裂が入っている状態で、保存(抜かずに残すこと)が不可能なレベルまで進行していました。周囲の骨への炎症も懸念されたため、速やかな抜歯が必要な状態でしたが、前歯という場所柄、抜歯後の審美性の維持が課題となりました。
歯の根っこが割れたり、ひびが入ったりすることです。神経を失った歯(失活歯)はもろくなるため起こりやすく、ひびから細菌が入り込むと激しい痛みや歯ぐきの腫れを引き起こします。多くの場合、抜歯が必要となります。

3. 治療計画
患者さんと深くカウンセリングを行った結果、当院が提案したのは「抜歯即時埋入即時荷重(ばっしそくじまいにゅうそくじかじゅう)」という手法です。
これは、抜歯をしたその日のうちにインプラントを埋入し、さらに固定式の仮歯まで装着する難易度の高い術式です。
手術回数を抑えられる可能性があること、仮歯を早期に装着できる場合があること、歯ぐきの形態を維持しやすい点などが挙げられます。
(※お口の状態により適応できない場合もあります)
当院では、このような症例に対し、インプラント手術ナビゲーションシステム「Xガイド(エックスガイド)」を使用しています。
4. 治療時
まず、保存不可能な前歯の抜歯を慎重に行いました。続いて、そのままインプラントの埋入手術へと移行します。
ここで活躍するのがXガイドです。これは、CTデータに基づき、手術中にインプラントを埋入する角度や深さをリアルタイムでナビゲーションするシステムです。
その結果、シミュレーションに基づき、計画に沿った位置・角度でインプラントを埋入することができました。
医療用ナビゲーションシステムの一種です。GPSのように、手術器具の先端位置をモニター上にリアルタイムで表示します。これにより、事前のシミュレーション通り、インプラントを計画通りの位置へ導くサポートシステムです。


埋入したインプラントに十分な初期固定(しっかりとした固定力)が得られたことを確認し、その日のうちに仮歯を装着しました。
手術を終えた患者さんは、「その日のうちに歯が入った」ことに大変驚かれ、また喜んでおられました。

5. 治療後・予後
インプラントが骨としっかり結合したことを確認した後、最終的な被せ物(セラミック)の作製に入ります。
当院では、従来の粘土のような型取り(印象採得)は行わず、口腔内スキャナー「プライムスキャン」を使用しています。お口の中を数分間スキャンするだけで、精密な3Dデータを取得することが可能です。
お口の中を小型カメラでスキャンし、コンピュータ上で立体的なデジタルデータを作成する装置です。従来の型取りのような不快感(オエッとなる嘔吐反射)がなく、精度の高いデータが得られるため、適合の良い被せ物を作ることができます。


デジタルデータに基づいて設計・製作されたオールセラミック冠を装着しました。
Xガイドによる理想的な位置への埋入と、デジタルスキャンによる精密な設計が組み合わさることで、隣接する天然歯と見分けがつかないほど自然な仕上がりとなりました。
患者さんからは「どこをインプラントにしたか忘れるほど自然で、思い切り笑えるようになった」とのお言葉をいただきました。


| 項目 | 内容 |
|---|---|
| 治療内容 | インプラント抜歯即時埋入即時荷重 |
| 年齢・性別 | 43歳 男性 |
| 主訴 | インプラント相談(他院より転院) |
| 診断名 | 前歯部根破折 |
| 治療期間 | 3ヶ月 |
| 通院回数 | 10回 |
| 費用(税込) | 90万円 |
| リスク・副作用 | 見た目の問題(歯ぐきの形や色)、骨の吸収、炎症、被せ物のトラブルなどが起こる可能性があります。 |
当院では、他院で「抜歯後のインプラントは難しい」と言われた症例に対しても、デジタル技術(Xガイドやプライムスキャン)を駆使して、できる限り患者さんの負担を抑えた、丁寧な診療を行っております。
前歯の見た目や、歯を失う不安をお持ちの方は、ぜひ一度当院へご相談ください。
監修:理事長/院長 山本 英樹
経歴:
大阪府立 三国丘高校 卒業
大阪大学 歯学部 卒業
平成17年 大阪府下 インプラントセンター勤務
平成22年 三国丘歯科クリニック 開設
平成26年 医療法人英歯会 理事長就任
令和6年 MID-G役員就任
その他受賞歴:
MID-Gマニュアルコース MVP
日本臨床歯科CADCAM学会 最優秀会員発表アワード
日本臨床歯科CADCAM学会認定医