当院で行ったインプラント治療の症例をご紹介します。
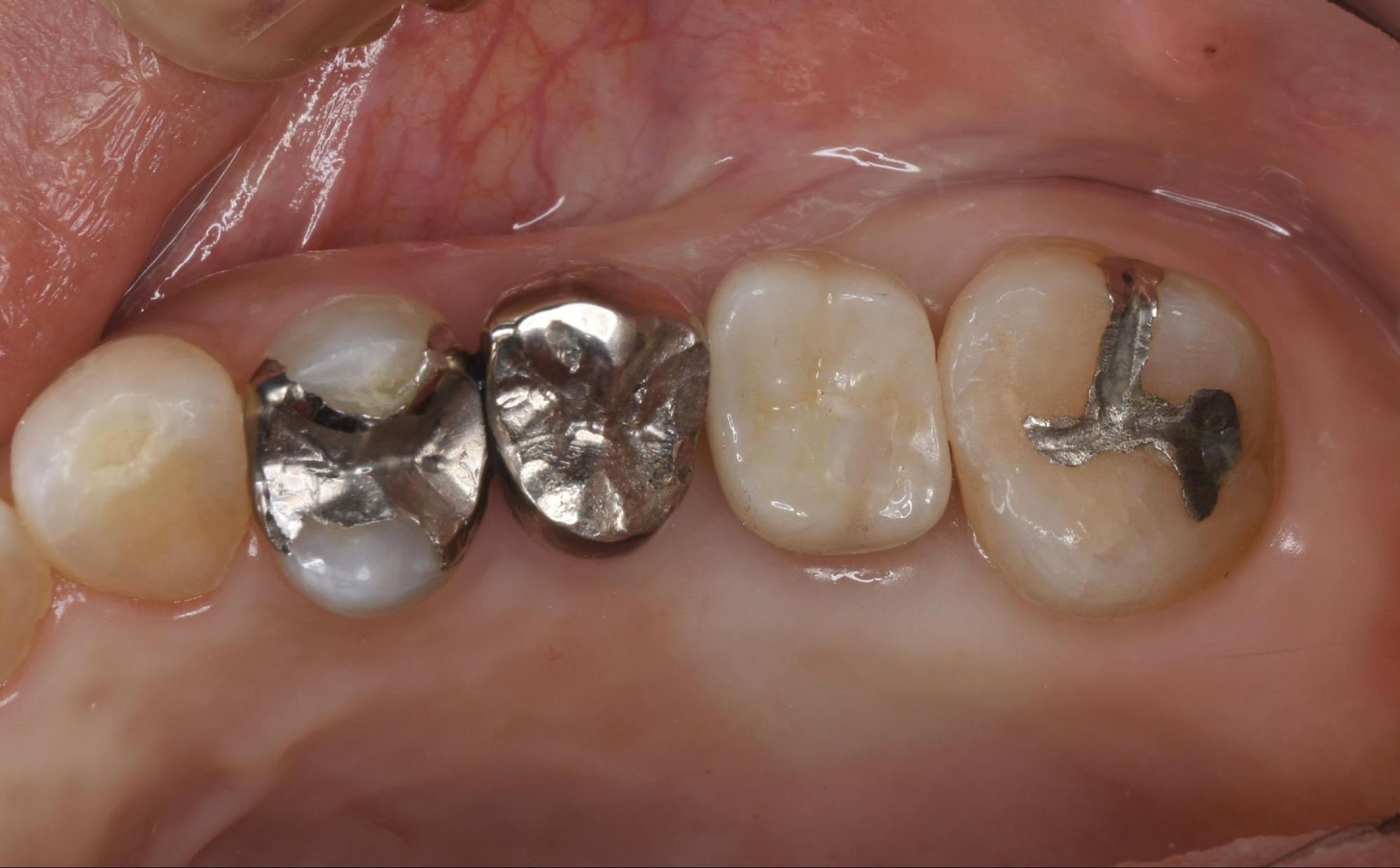
今回は、長年使用していた銀歯の下でむし歯が進行してしまい、抜歯となってしまったケースです。
しかし、最新のデジタル技術「Xガイド」を活用することで、抜歯と同時にインプラントを埋入し、さらに歯ぐきを切開しない「フラップレス手術」を行うことで、痛みや腫れをできるだけ抑えた治療を行いました。
1. 患者さんのご紹介(主訴・お悩み)
主訴: 「左上の奥歯がなんとなく痛い。噛むと違和感がある」
患者さんは、以前他院で治療された左上の奥歯(銀歯)の痛みを訴えて来院されました。
お仕事や家事でお忙しい毎日を送られており、「もし治療が必要なら、できるだけ通院回数を少なく、かつ痛くないように治したい」というご希望をお持ちでした。
痛みがある場所は、ご自身では見えにくい奥歯です。まずは原因を特定するために、詳細な検査を行うことから始めました。
2. ご来院時の状態と診断
まずはレントゲン撮影に加え、3次元的な骨の状態や歯根の向きを正確に把握できる「歯科用CT」による診査を行いました。
画像診断の結果、左上の銀歯の下でむし歯(二次カリエス)が重度に進行していることが判明しました。表面の銀歯を一見しただけでは分かりにくいのですが、内部でむし歯菌が感染を広げており、歯の根の方までボロボロの状態になっていました。
一度治療をして詰め物や被せ物(銀歯など)をした歯が、その内側で再びむし歯になってしまうことを「二次カリエス」と呼びます。
銀歯などの保険適用の金属は、経年劣化により接着剤が溶け出したり、金属自体が変形したりすることで、歯との間に目に見えない隙間が生じやすくなります。そこからむし歯菌が侵入し、気づかないうちに内部でむし歯が進行してしまうのです。神経を抜いている歯の場合、痛みを感じにくいため、発見が遅れ、今回のように抜歯を余儀なくされるケースも少なくありません。
診査の結果、残念ながらこの歯を保存(残すこと)は不可能であり、「抜歯」が必要であるという診断に至りました。


3. 治療計画
診断結果を患者さんに丁寧にご説明しました。
「やはりそうですか……」と残念そうなご様子でしたが、現状のまま放置すれば周囲の骨まで溶けてしまうリスクがあることをお伝えし、抜歯に同意いただきました。
その後の「歯を失った部分をどう補うか」というご相談において、患者さんは以下の点を重視されていました。
● 他の健康な歯を削りたくない(ブリッジは避けたい)
● 入れ歯のような違和感は避けたい
● とにかく痛いのが苦手。手術の腫れも避けたい
● できるだけ早く、元の歯のように噛めるようになりたい
これらのご希望を踏まえ、今回は「インプラント治療」を選択されました。
さらに、当院の強みであるデジタル技術を駆使し、「抜歯即時埋入(ばっしそくじまいにゅう)」に加え、歯ぐきを切らない「フラップレス手術」をご提案しました。
通常、インプラント治療は「歯ぐきを切開して骨を露出させ、見て確認しながら埋める」のが一般的です。しかし、当院では最新機器を用いることで、歯ぐきを切らずに小さな穴を開けるだけで済む方法が可能です。
歯ぐきにメスを入れて切り開く(フラップを開ける)ことなく、インプラントを埋入する方法です。
<メリット>
● 痛みが少ない: 切開しないため、術後の痛みが劇的に少なくなります。
● 腫れにくい: 出血が少なく、顔が腫れることもほとんどありません。
● 治癒が早い: 傷口が小さいため、回復が早いです。
● 縫合不要: 縫う必要がないケースが多く、抜糸の手間も省けることがあります。
より安全かつ正確にこの「フラップレス手術」を行うために、「Xガイド(X-Guide)」という最新のインプラント手術ナビゲーションシステムを使用する計画を立てました。
4. 治療時(手術当日)
いよいよ治療当日です。
まずは問題となっている銀歯を外しました。すると、事前のCT診断で想定していた通り、内部のむし歯は重度に進行しており、歯質のほとんどが失われていました。
①丁寧な抜歯
周囲の骨を傷つけないよう、マイクロスコープ(歯科用顕微鏡)なども活用しながら、慎重かつ丁寧に歯を抜きました。インプラントを成功させるためには、この「周囲の骨を残すこと」がとても重要です。
② Xガイドによるフラップレス埋入
ここからが当院のデジタル技術の真骨頂です。「Xガイド」を使用し、歯ぐきを切らずにインプラントを埋入していきます。
本来、歯ぐきを切らないフラップレス手術は、骨を直接見ることができないため、歯科医師の経験や勘に頼る部分があり、リスクも伴う高度な術式です。しかし、Xガイドを使うことで、そのリスクを軽減できます。
手術中、CT画像をもとに計画した「理想的なインプラントの位置・角度・深さ」と「現在のドリルの位置」が、リアルタイムでモニター上に表示されます。
これにより、歯ぐきを切開して骨を目視しなくても、画面上で骨の内部を透視するように確認しながら手術ができるため、安全確実なフラップレス手術が可能になります。
● ピンポイントの精度: 0.1ミリ単位の正確な位置に埋入できます。
● 低侵襲(傷口が小さい): フラップレス手術の安全性を担保する重要な機器です。
Xガイドの画面を確認しながら、計画通りの位置へピンポイントにインプラントを埋入しました。歯ぐきを切っていないため、出血はほとんどありませんでした。
手術結果
これで「抜歯」と「インプラント埋入手術」が同時に完了しました。
驚くべきことに、この日の手術時間はわずか30分ほどでした。
患者さんも「えっ、切ってないんですか? もう終わったんですか? 麻酔が切れた後も痛くなさそうで安心しました」と大変安堵されていました。



5. 治療後・予後
手術から2ヶ月後、インプラントと骨がしっかりと結合していることを確認しました。
フラップレス手術だったため、歯ぐきの治りもスムーズでした。
③型取り(3Dスキャン)
従来の粘土のような材料を口に入れる型取りは行わず、口腔内スキャナーを用いた「光学印象」を行いました。
小型カメラで口の中を動画撮影するようにスキャンし、歯型をデジタルデータとして採取する方法です。
● 嘔吐反射がない: 粘土を入れないので、「オエッ」となる苦しさがありません。
● 高精度: 変形のないデジタルデータのため、適合の良い被せ物が作れます。
● スピーディー: 短時間で型取りが完了します。
スキャンしたデータを元に、セラミックの被せ物を設計・製作しました。
④セラミック装着
スキャンから程なくして、完成したセラミックの歯を装着しました。
見た目は天然の歯と見分けがつかないほど自然で、噛み合わせも調整済みです。

治療回数のまとめ
今回の治療ステップは以下の通りです。
1.抜歯+インプラント埋入手術(Xガイド使用・フラップレス即時埋入)
2.消毒(状態確認・抜糸は不要でした)
3.型取り(3Dスキャン)
4.セラミック装着
わずか4ステップ、期間にして約2ヶ月強で、抜歯から最終的な歯が入るところまで終了しました。
患者さんからは、「痛みもほとんどなく、腫れも全くありませんでした。こんなに楽に治療が終わるなら、もっと早く相談すればよかったです」と大変ご満足いただきました。
今後は、この良い状態を長く維持するために、定期的なメンテナンスでしっかりとサポートさせていただきます。
【院長より一言】
今回の症例のように、重度のむし歯で抜歯が必要になった場合でも、デジタル技術(CT、Xガイド、口腔内スキャナー)を駆使することで、「歯ぐきを切らない(フラップレス)」「抜いたその日に埋める(即時埋入)」といった、患者さんの身体的負担を極限まで減らす治療が可能です。
「インプラントの手術が怖い」「痛いのは嫌だ」「腫れたくない」とお悩みの方は、ぜひ一度、当院のXガイドによるフラップレスインプラントをご相談ください。
監修:理事長/院長 山本 英樹
経歴:
大阪府立 三国丘高校 卒業
大阪大学 歯学部 卒業
平成17年 大阪府下 インプラントセンター勤務
平成22年 三国丘歯科クリニック 開設
平成26年 医療法人英歯会 理事長就任
令和6年 MID-G役員就任
その他受賞歴:
MID-Gマニュアルコース MVP
日本臨床歯科CADCAM学会 最優秀会員発表アワード
日本臨床歯科CADCAM学会認定医